Cavities

No more silver fillings
We have all heard about cavities. Most of us have had fillings to fix cavities. But how did this happen? Sugar is the major factor. Teeth get decay (cavities) by the acid in our mouths. The acid is produced by bacteria that eat the sugar. This is what causes the cavity. The acid has eaten away at the tooth.
We are finding that it is not only how much sugar you consume, but also how often you consume it. Sipping on 20 ounces of soda for hours is just as bad, if not worse than, drinking a 32 ounce soda in a 5 minute time period. Signs of a cavity include:

  • Sensitivity to temperature or sweets
  • Broken teeth
  • Leaking fillings
  • Brown stained chewing surfaces

How do we fix it?
That depends on the size and location of the cavity. Often we can place a tooth colored filling. We don’t use silver-mercury anymore. If the cavity is larger we place a crown or onlay to give the tooth more strength. Catching the cavity early is the key.


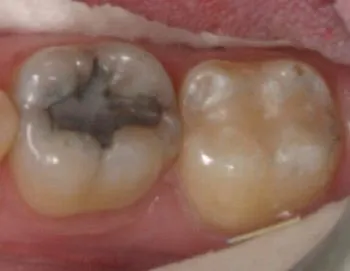
Cavity in last tooth

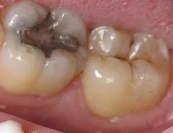
Soft Area Removed

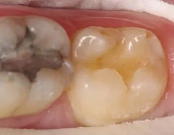
Tooth Colored Filling

Contact Us

Send Us an Email

OUR LOCATION


Hours of Operation

Your Rockwall Family Dentist

Monday:

8:00 am-5:00 pm

Tuesday:

8:00 am-5:00 pm

Wednesday:

8:00 am-5:00 pm

Thursday:

8:00 am-5:00 pm

Friday:

8:00 am-1:00 pm

Saturday:

Closed

Sunday:

Closed